• Tel: 858.663.9055
  • SeparatorEmail: info@nsjbio.com
  • Tel: 858.663.9055
  • Email: info@nsjbio.com
Home >> Antibodies >> MTR Antibody [Methionine synthase]

MTR Antibody [Methionine synthase] (R36326)

  Catalog No Formulation Size Price (USD)  
Image R36326-100UG 0.5 mg/ml in 1X TBS, pH7.3, with 0.5% BSA (US sourced) and 0.02% sodium azide 100 ug 475
Bulk quote request
Western blot testing of HeLa lysate with MTR antibody at 2ug/ml. Predicted molecular weight: ~140kDa.
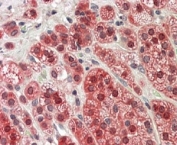
IHC staining of FFPE human adrenal gland with MTR antibody at 4ug/ml. HIER: steamed with pH6 citrate buffer, AP-staining.
Availability 1-3 business days
Species Reactivity Human
Predicted Reactivity Dog, Mouse, Pig, Rat
Format Antigen affinity purified
Host Goat
Clonality Polyclonal (goat origin)
Isotype Goat Ig
Purity Antigen affinity
Gene ID 4548
Applications Western Blot : 2-4ug/ml
Immunohistochemistry (FFPE) : 3-5ug/ml
ELISA (peptide) LOD : 1:32000
Limitations This MTR antibody is available for research use only.
Review this product on BioCompare and get a $20 Amazon gift card

Related Products

Description

Additional name(s) for this target protein: 5-methyltetrahydrofolate-homocysteine methyltransferase

Application Notes

Optimal dilution of the MTR antibody should be determined by the researcher.

Immunogen

Amino acids VEKWLGPILGYDTD were used as the immunogen for this MTR antibody.

Storage

Aliquot and store the MTR antibody at -20oC.

Cross
Bulk Quote Request Form
Name*:
Organization*:
Email*:
Phone Number*:
Catalog No.*:
Comments and Specifics(amount, formulation, etc.)*:
Validation code: Captchapackage Image


Can't read the image? click here to refresh.
    *required field

Your bulk quote request has been submitted successfully!

Please contact us if you have any questions.